Reveal your authentic self.
Nami’s Smile Design is a deeply personalized, collaborative experience created to reveal a smile that feels aligned with your personality — one that looks as if it has always belonged to you.

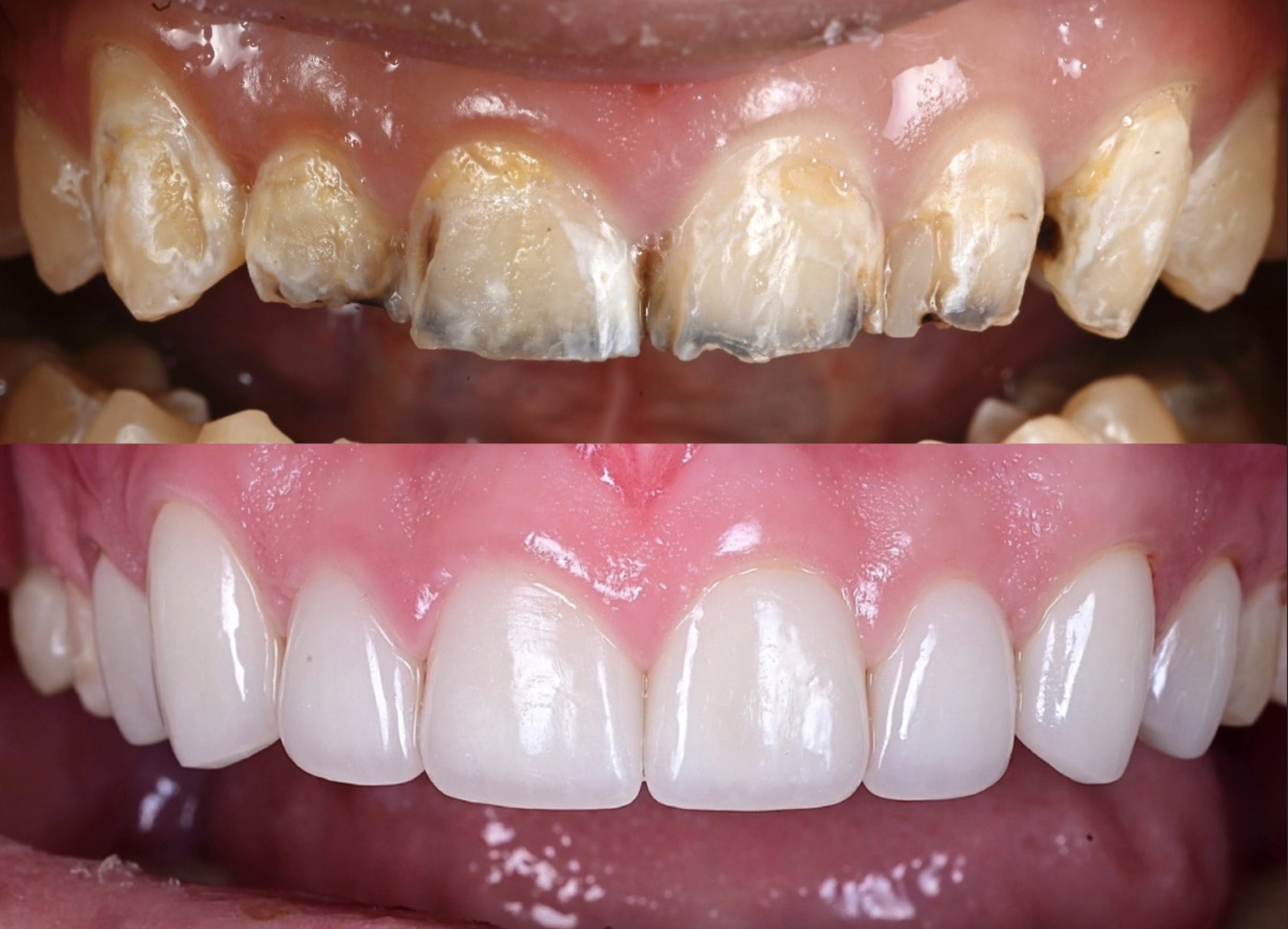
A Smile Should Feel Like It Was Always Yours
We don't design smiles to impress — we create them to belong." ou "Every decision is guided by harmony, restraint, and individuality.

Where Art Meets Exacting Precision
Advanced digital planning, facial analysis, and handcrafted mock-ups allow us to refine every nuance before anything touches your smile.

Crafted in Partnership with World-Class Ceramists
We work closely with a select group of elite ceramists — artists who understand that the most beautiful smiles are the ones that don't announce themselves.

The Result Isn't a New Smile — It's Recognition
When done right, a smile doesn't change who you are." or "It simply lets you see yourself more clearly.
The result
a smile that looks real, feels natural, and truly reflects you.


our story
It runs in the family.

Our family’s creative roots began with a love for craftsmanship — for doing things with care, purpose, and precision. That spirit originated with our great-grandfather, whose tilework was defined by artistry and attention to detail.
our story
It runs in the family.

His son, a tailor, carried this legacy forward through his devotion to fabric, form, and the thoughtful nuances that transform something simple into something meaningful.
our story
It runs in the family.

His craft evolved beyond garments into restoring timeless spaces, yet his philosophy remained the same: if something brings you joy, it’s worth doing well.
our story
It runs in the family.

His dedication to authenticity, intention, and the beauty of the process shaped the values we carry today — to create with meaning, and to let every detail tell a story.
our story
It runs in the family.

David continues this legacy with ease. Guided by intuition, empathy, and an eye for enduring aesthetics, his work is defined not only by precision, but by the way he makes people feel — understood, valued, and seen.
our story
It runs in the family.

To him, the most beautiful creations come from those who care deeply about what they do, and why they do it.
Smile Design Process
Nami brings your vision to life.
Your smile design journey at Nami is entirely personalized. Every step is thoughtfully crafted to make your transformation feel as naturel as it looks.
Is smile design for me?
What does the process involve, and how long does it take?
Will my smile look natural?
Can I see what my new smile will look like before starting?
Does it hurt?
How much does it cost, and can I finance it?
How long do results last, and what maintenance is needed?
How is Nami different from other cosmetic dentists, and is it only about the aesthetics?
What if I only want a small change, or something other than veneers?
Will I need to take time off work, and when will I see results?
Address
1227 Lincoln Blvd, Suite 201
Santa Monica, CA
90401
Dr. David Koshki
Founder, Aesthetic & Restorative Dentistry
Dr. Joshua Koshki
Director, Clinical Strategy
































